Smile Case Studies
Here at Gorse Covert Dental Practice we are passionate about dentistry, and proud to make our patients smile with confidence. Please see below some of the smile transformations we have performed with close attention to detail, and with the highest level of patient care.
Click on each of the the Cases below to see a Close Up of the Before and After Images:
Smile Case: Invisalign Clear Aligners
Jenny's teeth were becoming more crooked and beginning to chip away. This made her self-conscious and worried about how they would look as she got older. 18 months of Invisalign treatment and some simple composite bonding gave her a smile she could be proud of.
Smile Case: Invisalign Teen Clear Aligners
Using Invisalign’s computer aided design system to work out exactly how much space we needed . A combination of broadening the smile and some safe adjustment to the width of Julie’s teeth gave a great result. Julie and her parents were relieved that no extractions were needed and delighted with her smile!
Smile Case: Invisalign Clear Aligners
Mae-Lee was very reluctant to smile in public because her teeth were so crooked. 15 months of Invisalign corrected her problem and suddenly she was beaming from ear-to-ear. She was also able to make a long trip back home during treatment because there are very few emergencies with Invisalign.
Smile Case: Invisalign Clear Aligners
Jane was getting very worried about the crowding of her lower front teeth. It was getting progressively worse. Using Invisalign was ideal for Jane, because she could take out her aligners to thoroughly clean her teeth and gums after every meal. She’s now looking forward to a long life with a beautiful, healthy smile!
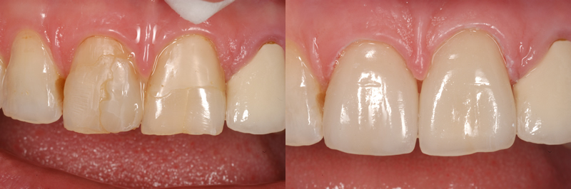
Smile Case: Dental Veneers
A 30 year old male pilot had an accident and fractured his two front teeth. They were repaired with white fillings, the colour match was difficult and he preferred something more permanent. The treatment was to make a small sectional porcelain veneer. This saves cutting the tooth down and produces a long term excellent result.
Smile Case: Dental Veneers
A 42 year old lady had treatment at another practice to try and close gaps between her front teeth. The treatment failed soon after leaving the fractured filling and gaps exposed. We removed her old failing fillings and decided to produce four porcelain veneers to improve the colour and close the gaps. She was delighted with the result.
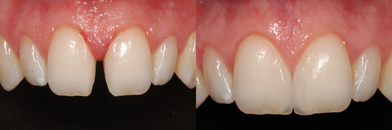
Smile Case: Dental Veneers
A 26 year old lady had treatment at another practice to replace close a gap between her 2 front teeth. A common issue for a lot of people. The treatment was done with fillings which gave her one wide tooth and the other narrow. We removed her fillings to reveal her gap. It was decided to make two small sectional veneers to close the gap. She was delighted with the result.
Smile Case 6: Dental Veneers
A 27 year old lady had an accident as a child. This resulted in her two front teeth 'dying' causing them to discolour over the years. The colour was progressively getting darker making the lady more and more conscious of her smile. Two dental veneers were made to cover her front teeth and mask their dark colour. Her confidence improved enormously.
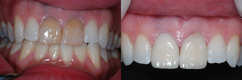
Smile Case: Dental Veneers
A 50 year old male had several large fillings on his front teeth over many years. The white fillings were now failing, and the colour match was difficult and he preferred something more permanent. The treatment was to make 2 porcelain veneers. This improved not only the strength, but the colour of the teeth.
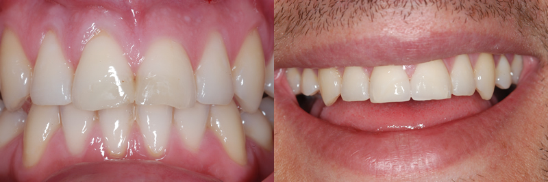
Smile Case: Teeth Straightening
A 30 year old man had always wanted straighter teeth. The teeth were healthy, and it was decided to treat him with invisible braces. After 12 months of treatment he got the smile he always wanted.
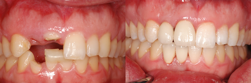
Smile Case: Dental Implants & Crowns
A 25 year old man had a sporting accident, which destroyed his prefect smile. We had to replace the knocked out teeth using implants and crowns. He now wears a gum shield for all sporting activities.
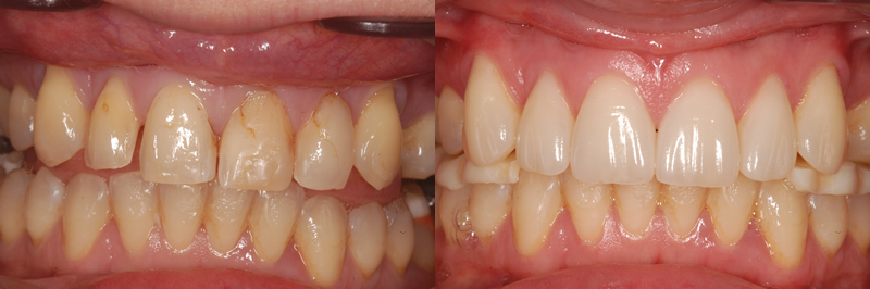
Smile Case: Dental Crowns & Veneers
A 47 year old lady had treatment at another practice to replace two old crowns. The treatment left her with 2 poorly fitting yellow crowns. We removed her old crowns and remade them and it was decided to veneer the other 2 teeth at the same time to get rid of the overlap. She can't stop smiling!.
Smile Case: Dental Crowns & Veneers
A 76 year old lady had always wanted to have a straight, even smile. She had some very large old fillings, therefore we decided to crown her 6 front teeth which gave her the magic smile and strengthened her teeth also. She loves them and wished she had them done earlier.
Get in touch
If you would like any further information, please feel free get in touch with our friendly reception by calling 01509 844 118 or using our online form by click on the button below:
